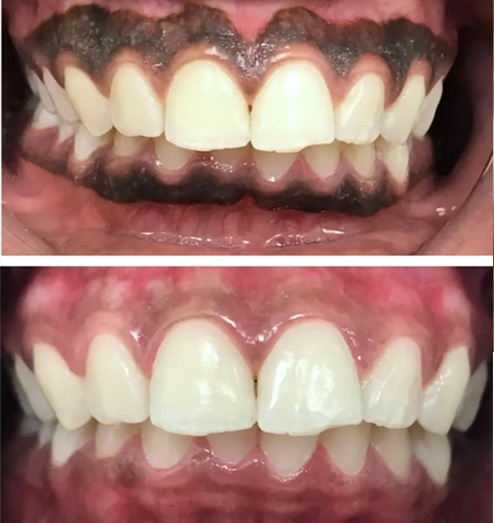
GUM DEPIGMENTATION / GUM BLEACHING
Gum De-pigmentation is a dental procedure that is mainly executed to remove the pigments and ugly spots from the gums which is caused due to excessive pigment  melanin. Generally, the color of the Gingiva or the gum tissue is pink in color, but due to accumulation of excessive melanin the patient experience ugly patches on gum tissues which is considered to be a cosmetic dental problem.
 
The most common cause of darker pigments in the gums is genetics. Excess melanin can build up in the gums, making them look brown or black instead of pink. The extra pigment does not indicate any disease or dysfunction. Patients seek treatment because of an aesthetic preference for pink gums that showcase their teeth better.
Other causes for dark gums include smoking, side effects from certain medications and possible effect of amalgam fillings on the gum.
At DENTZANIA , you can get your gums rid of such pigments with a depigmentation procedure . It is a painless procedure where we remove the upper pigmented layer of your gums .
Experience the difference …
The most common cause of darker pigments in the gums is genetics. Excess melanin can build up in the gums, making them look brown or black instead of pink. The extra pigment does not indicate any disease or dysfunction. Patients seek treatment because of an aesthetic preference for pink gums that showcase their teeth better.
Other causes for dark gums include smoking, side effects from certain medications and possible effect of amalgam fillings on the gum.
At DENTZANIA , you can get your gums rid of such pigments with a depigmentation procedure . It is a painless procedure where we remove the upper pigmented layer of your gums .
Experience the difference …
 
	