Treatments
Dental
Consultation
Your smile deserves time, attention, and expert care.” Comprehensive dental consultation at Dentzania—because every smile is unique.
Teeth Cleaning
& Polishing
Remove plaque and stains for a fresher, healthier smile with professional cleaning and polishing.
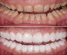
Teeth
Whitening
Brighten your smile safely and effectively with our advanced teeth whitening treatments.
Gum
Treatment
Restore gum health with expert periodontal care at Dentzania. We treat bleeding gums, swelling, and infection with advanced techniques.
Painless
Root Canals
Save your natural tooth with our advanced, pain-free root canal procedure. Comfortable, quick, and designed to relieve pain—not cause it.
Crowns
and Bridges
Precision-crafted crowns & bridges for strength, comfort, and natural aesthetics. Restore damaged or missing teeth with expert care at Dentzania.
Dental
Implants
Replace missing teeth with permanent, natural-looking implants. Strong, stable, and designed to restore your smile and confidence
Cosmetic
Dentistry
Enhance your smile with personalized cosmetic dental solutions. From veneers to smile makeovers—beauty meets precision.
Full Mouth
Rehabilitation
Complete smile transformation with precision, planning, and care ! When multiple dental problems need one comprehensive solution. Expertly planned full mouth rehabilitation at Dentzania tailored to your function, comfort, and aesthetics.
Laser
Dentistry
Experience pain-free, precise treatments with advanced soft tissue laser therapy at Dentzania.Heal faster and smile brighter — laser dentistry makes it possible!
Kids
Dentistry
Because a happy dental visit creates fearless smiles for life ! Compassionate kids dentistry at Dentzania
Clear
Aligner
Straighten your teeth discreetly with custom-made, removable aligners. Comfortable, invisible, and designed for your lifestyle.
Orthodontics /
Braces Treatment
Straighten your teeth and perfect your bite with braces or clear aligners. Achieve a confident smile with expert orthodontic care.
Wedding Smile
Makeover
Get the perfect smile for your big day with our customized bridal makeover. Radiate confidence and beauty as you walk down the aisle.
Preventive
Dentistry
Protect your smile with regular check-ups, cleanings, and early care. Prevention today for a healthier smile tomorrow.
Maxillofacial
Surgery
From simple extractions to complex surgical removals. Experienced maxillofacial care you can trust !
Dentures
Restore your smile, speech, and chewing comfort ! Custom dentures made for stability and a natural appearance.
TMJ (Jaw Pain)
Management
Relieve jaw pain, clicking, and discomfort with specialized TMJ treatments. Personalized care for a relaxed, pain-free jaw.

















