Clear Aligners
Clear Aligners / Invisalign treatment in Goregaon East, Mumbai India
Do you dream of having the perfect smile?
Having crooked or crowded teeth can make people self-conscious about their smiles, and can also hinder their dental hygiene, which can lead to tooth decay, gum disease, or other issues with oral health.
Straighten your teeth discreetly with Clear Aligners. Comfortable, removable, and nearly invisible – your dream smile made easy!
Straighten your teeth discreetly with Clear Aligners. Comfortable, removable, and nearly invisible – your dream smile made easy!
Fortunately, there is now a more discreet way to straighten your teeth: Clear Aligners!
Clear aligners are nearly invisible plastic trays that snap over your teeth. As you wear them, they apply gentle pressure on your teeth to gradually reposition them.
If you have mild to moderate orthodontic problems, aligner treatments may be the orthodontic solution you’ve been looking for.
Transform your smile effortlessly with Invisalign, the discreet and effective orthodontic solution. Say goodbye to traditional braces and hello to a clear alternative that aligns your teeth discreetly. With Invisalign, you can confidently flash your pearly whites throughout the treatment process. Experience the convenience of removable aligners that allow you to eat, brush, and floss without restrictions. Achieve a straighter, healthier smile while maintaining your professional appearance. Choose Invisalign for a seamless journey towards a stunning smile – the smart choice for a confident future.
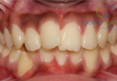
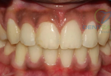
Before / After
Frequently Asked Questions
Contact us for high quality affordable aligner treatments !
Benefits of Aligner Treatment
There are several benefits to choosing clear aligners over traditional braces, including:
Discreet:
Clear aligners are barely noticeable, allowing you to straighten your teeth without feeling self-conscious.
Comfortable:
Clear aligners are made of smooth plastic that won't irritate your cheeks or gums like traditional braces can.
Removable:
You can easily remove your aligners to eat, drink, brush, and floss, making oral hygiene easier.
Effective:
Clear aligners can effectively treat a wide range of orthodontic issues, including crowded teeth, gaps, and bite problems.
Convenient:
With clear aligners, you'll have fewer visits to the orthodontist compared to traditional braces, saving you time and hassle.
High quality clear aligners
At Dentzania with our expert team, we specialize in providing high-quality clear aligner treatments that can help you achieve the smile you've always wanted.
State of the art technology and expert team
We utilise advanced dental technology for precise diagnosis and treatment planning, which along with our highly qualified expert team ensures superior outcomes.
Personalised care
Each patient receives personalised attention and a customised treatment plan designed to achieve their desired smile goals.
Patient-Centred Approach
The team at DENTZANIA prioritises patient comfort and satisfaction, providing a welcoming environment and compassionate care throughout the treatment journey and beyond !
Why choose us ?
Cutting-Edge Dental Technology at Dentzania
Happy Patients
Smiles Crafted
Years of experience
Clear Aligner treatment in Goregaon East, Mumbai
Clear aligners (most commonly known as Invisalign) are a modern alternative to traditional braces. They are custom-made, clear plastic trays that are worn over the teeth to gradually move them into the desired position.
Unlike braces, clear aligners are virtually invisible, making them a popular choice among adults and teens who want to straighten their teeth discreetly.
Investing in Clear Aligner Treatment
Investing in clear aligner treatment is not just about achieving a straighter smile; it's an investment in your overall oral health and confidence. While the cost of clear aligner treatment may vary depending on the complexity of your case and the type of aligners used, the long term benefits far outweigh the initial expense. Straighter teeth are easier to clean, reducing the risk of gum disease and tooth decay.
A beautiful smile can boost your self-esteem and improve your overall quality of life. With clear aligner treatment, you're not just getting a straighter smile – you're investing in a healthier, happier future !
Our Clear Aligner Process
- Consultation: During your initial consultation, we'll assess your teeth and discuss your goals to determine if clear aligners are right for you.
- Treatment Plan: If clear aligners are a good fit, we'll create a customized treatment plan that outlines the movements of your teeth throughout the process.
- Fitting: Once your aligners are ready, you'll come in to have them fitted. You'll wear each set of aligners for about 1-2 weeks, as directed by your doctor, then switch to the next set in the series.
- Progress Check-ups: We'll schedule regular check-ups to monitor your progress and make any necessary adjustments to your treatment plan.
- Maintenance: After completing your treatment, a retainer is required to maintain your newly straightened smile.
Problems clear aligners can correct :
Aligner systems at our clinic in Goregaon East, Mumbai
