Orthodontics / Braces Treatment
Crafting Beautiful, Healthy Smiles with Expert Orthodontic Care!
Straighten Your Smile with Expert Care. At Dentzania, we believe every smile deserves to shine confidently.
Our orthodontic treatments help align your teeth, correct jaw irregularities, and enhance overall oral health—for both kids and adults.
Braces aren’t just for aesthetics—they’re an investment in your oral health.
Misaligned teeth or a bad bite can cause:
- Difficulty in cleaning teeth
- Increased risk of decay and gum disease
- Uneven tooth wear and jaw strain
- Speech or chewing problems
Orthodontic treatment corrects these issues, leading to long-term dental wellness and a smile you’ll love.
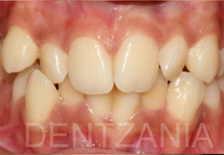
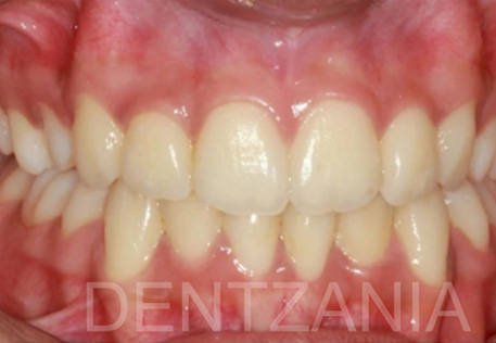
Before / After
Frequently Asked Questions
Benefits of Braces
Straighter Teeth & Better Smile
Boost your self-esteem with a confident, well-aligned smile.
Improved Oral Health
Easier brushing and flossing mean fewer cavities and gum problems.
Better Bite Function
Correct jaw alignment reduces stress on teeth and muscles.
Speech Improvement
Properly positioned teeth can enhance speech clarity.
Long-Term Dental Stability
Prevent future complications and maintain tooth structure.
Expert Orthodontic Care
Our team includes experienced orthodontists who specialize in treating a wide range of alignment issues—from crowding and gaps to bite correction. Every treatment is planned with precision and care.
Personalized Braces Options
We offer a variety of high quality braces to suit your needs, including:
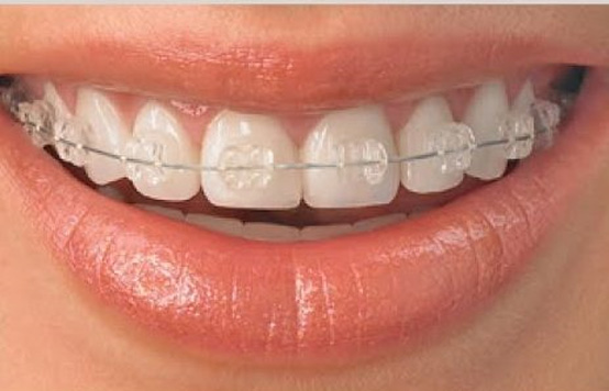
Metal Braces, Ceramic Braces, Self ligating Braces, Clear Aligners (Invisalign)
Each option is discussed in detail to help you make an informed decision based on your lifestyle and goals.
Affordable and Flexible Payment Plans
We believe everyone deserves a beautiful smile.
That’s why Dentzania offers affordable braces in Mumbai with flexible payment options, so cost is never a barrier to your treatment.
Advanced technology for precise results
We use advanced technology to ensure precise, comfortable, and faster orthodontic treatment. Our friendly staff makes every visit a pleasant one.
Why Choose Dentzania for Braces in Goregaon East, Mumbai?
At Dentzania, we understand that a confident smile starts with perfectly aligned teeth. If you're looking for braces in Goregaon East, here's why we are the right choice for your orthodontic journey.
Let’s Straighten That Smile!
Book your orthodontic consultation today at Dentzania, Goregaon East, Mumbai.
Call: 8850406457
Visit: www.dentzania.com
We care for your smile—because your confidence begins with it.
Book an Appointment NowCutting-Edge Dental Technology at Dentzania
Happy Patients
Smiles Crafted
Years of experience
More about Orthodontic/ Braces treatment
Orthodontics / Braces Treatment
Straighten Your Smile with Expert Care
At Dentzania, we specialize in orthodontic treatments that align your teeth, correct bite issues, and enhance facial aesthetics. Whether you're a teen or an adult, it's never too late to get the confident smile you deserve!
Orthodontic treatment in Goregaon East
What braces do for you ?
Braces aren't just about straight teeth – they're about a healthier, happier you!
Orthodontic treatment plays a crucial role in oral health. Misaligned teeth can lead to:
- Difficulty in cleaning teeth properly
- Increased risk of tooth decay and gum disease
- Jaw pain or bite issues
- Speech difficulties
- Braces help correct these issues by gently shifting your teeth into the ideal position.
Types of Braces we offer:
1. Metal Braces
Durable and effective, metal braces are a traditional yet reliable choice for comprehensive correction.
2. Ceramic Braces
Tooth-colored brackets blend with your teeth for a less noticeable option.
3. Self-Ligating Braces
These braces use special clips instead of elastic bands, making them more comfortable and easier to clean.
4. Lingual or inner side braces
Lingual braces are an orthodontic treatment that helps improve teeth alignment. Lingual braces are applied on the inside of the lower or upper teeth (lingual means “tongue-side”), making them virtually invisible when you smile.
5. Clear Aligners / Invisalign
Removable, virtually invisible trays designed for adults and teens who prefer a discreet solution.
Orthodontic Treatment Process:
1. Consultation & Diagnosis
We assess your smile, X-rays and scans / impression, and design a personalized treatment plan.
2. Appliance Placement
Depending on your choice, braces or aligners are fitted with precision.
3. Regular Adjustments
Periodic visits to track progress and make necessary adjustments.
4. Retention Phase
After treatment, retainers ensure your new smile stays in place.
