Discolored Teeth
Discolored teeth treatment in Goregaon East Mumbai | Dentzania Dental Clinic
Regain your confident smile with safe and effective teeth whitening treatments at Dentzania, Goregaon East, Mumbai.
What Are Discoloured Teeth?
Tooth discoloration is a common dental concern where teeth appear yellow, brown, or grey instead of natural white. It can result from various factors like poor oral hygiene, smoking, coffee/tea, certain medications, or aging.
Common Causes of Tooth Discolouration:
- Coffee, tea, red wine, and soft drinks
- Smoking or tobacco use
- Poor dental hygiene
- Aging and enamel wear
- Medications like tetracycline
- Excessive fluoride or trauma to teeth
Don’t let stained teeth dim your confidence any longer ! Regain your confident smile with safe and effective teeth whitening treatments at Dentzania, Goregaon East, Mumbai.
Our skilled professionals provide expert treatments, using advanced techniques to achieve dazzling results. Reclaim your self-assurance and make a lasting impression.
Book an Appointment Now
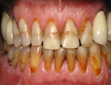
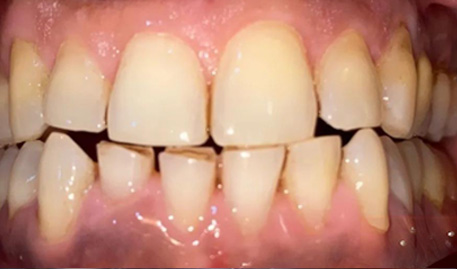
Before / After
Frequently Asked Questions (FAQs) About Tooth Discolouration
Benefits of tooth discolouration treatment at dental office
Improved oral health
Safe
Improved aesthetics
Boosted confidence
Youthful appearance
Great first impressions
High quality advanced teeth whitening
At Dentzania, we provide high quality treatments and advanced whitening solutions , with customised ,tailored plans for each patient who seeks a treatment for teeth discolouration!
Expert Dentist & Periodontist – Dr. Ekta Kukreja
Comfortable, patient-centered approach
Affordable and long-lasting solutions
Why Choose Dentzania?
Expert Dentist & Periodontist – Dr. Ekta Kukreja
- Advanced whitening technology
- Comfortable and safe procedures
- Affordable treatment plans
Our Discoloured Teeth Treatment Options
At Dentzania, we offer personalized treatments based on the type and severity of discolouration:
1. Professional Teeth Cleaning (Scaling & Polishing)
Removes surface stains, plaque, and tartar to restore the natural shine of your teeth.
2. Teeth Whitening (Bleaching)
We offer both:
- In-clinic Zoom/laser whitening: Fast and visible results in one session
- At-home whitening kits: Custom trays with dentist-supervised whitening gel
3. Dental Veneers or Laminates
For deep internal stains or permanently discoloured teeth, ultra-thin porcelain or composite veneers offer a flawless white smile.
4. Dental Crowns
Recommended for severely discoloured or damaged teeth, especially after trauma or root canal treatment.
Book an Appointment NowCutting-Edge Dental Technology at Dentzania
Happy Patients
Smiles Crafted
Years of experience
What is tooth discoloration?
Tooth discoloration refers to the staining or darkening of your teeth. You can develop discolored teeth for a number of reasons. Some causes are unavoidable — like aging, trauma or disease. Other causes are preventable — like smoking and poor oral hygiene.
Types of tooth discoloration
There are two main types of tooth discoloration:
Extrinsic discoloration: This type of discoloration affects the outer surface of your teeth (enamel). Exposure to certain environmental factors — like some foods and beverages — causes extrinsically discolored teeth.
Intrinsic discoloration: This type of discoloration starts inside your tooth and affects your dentin (the layer underneath your enamel). Causes include dental trauma and certain medications.
Possible Causes
What are the most common causes of discolored teeth?
Several things can cause discolored teeth. Some causes are avoidable. Others are unavoidable. Avoidable tooth discoloration causes include:
- Dark-colored foods and beverages. Things like coffee, tea, berries, red wine and soy sauce can stain your teeth over time.
- Smoking and other tobacco use. Research indicates that tooth discoloration is more common among people who smoke compared to people who don’t.
- Poor oral hygiene. Stains cling to dental plaque. If you don’t remove plaque with regular brushing and flossing, you’re more likely to develop discolored teeth.
- Excessive fluoride. In appropriate quantities, fluoride is an excellent way to protect your teeth from cavities. However, people who consume high levels of fluoride during childhood may develop fluorosis — a condition that results in white spots on your tooth enamel.
Unavoidable tooth discoloration causes include:
- Genetics. Natural tooth color, brightness and translucency vary from person to person.
- Dental trauma. Falls, car crashes and sports-related injuries can cause trauma that results in tooth discoloration.
- Aging. As you grow older, your tooth enamel wears thinner. This exposes more of the underlying dentin, which has a yellowish hue. As a result, your teeth may appear slightly more discolored as you age.
- Dental treatments. Some dental materials — like silver amalgam used in metal fillings — can make your teeth appear grayish in color. Root canal therapy can also cause tooth discoloration in some instances.
- Certain diseases. Some health conditions cause teeth discoloration, including liver disease, celiac disease, calcium deficiency, eating disorders and metabolic diseases.
- Certain medications. Some medications, like certain antihistamines and drugs for high blood pressure, can result in teeth discoloration. In addition, adults who took tetracycline or doxycycline (both antibiotics) during childhood may have tooth discoloration.
- Cancer treatments. Chemotherapy or head and neck radiation therapy can cause tooth discoloration.
Different color meanings
Sometimes the color of tooth stains can pinpoint the culprit:
- Yellow stains are usually due to eating and drinking dark-colored foods or beverages. It may also mean that you need to improve your oral hygiene.
- Brown teeth discoloration is a result of smoking or using chewing tobacco. If you have brown stains and pitting (small holes) in your teeth, it probably means you have untreated tooth decay.
- Purple teeth stains usually affect people who consume a lot of red wine.
- Gray tooth discoloration may mean that the nerve inside your tooth has died. Dental trauma can cause this.
- White flecks on your teeth may indicate dental fluorosis. This means you consumed high levels of fluoride during childhood, when your teeth were developing.
- Black spots on your teeth typically indicate areas of severe decay.
Care and Treatment
Dentists use different tooth discoloration treatments depending on the underlying cause and whether the stains affect the outer or inner layers of your teeth. The total cost depends on what treatments you need to undergo for your discoloured teeth.
At Dentzania, we provide world class treatments, using cutting edge technology with affordable pricing.
Book an Appointment NowHow do dentists treat discolored teeth?
1. Teeth whitening
Dentists may offer in-office or at-home professional teeth whitening treatments. These methods use hydrogen peroxide or carbamide peroxide to break up stains and lift them from your teeth. Professional whitening works best on surface (extrinsic) stains. But some whitening products can remove deep dental (intrinsic) stains, too.
In-office bleaching takes about one hour to complete. Most take-home whitening treatments require 30- to 60 minute daily treatments for up to six weeks. There are pros and cons to each. Ask your dentist which option is right for you.
2. Dental bonding
If you have deep tooth discoloration that doesn’t improve with whitening, your dentist may recommend dental bonding. This procedure involves applying tooth-colored composite resin to conceal discolored teeth.
Bonding is much more affordable compared to other options (like porcelain veneers), but you’ll probably need touch-ups every five to seven years. Dental bonding might not be the best option if you have several discolored teeth.
3. Porcelain veneers
If you have widespread tooth discoloration that doesn’t improve with whitening, you may want to consider porcelain veneers. These tooth-colored ceramic shells are thin, yet strong. A dentist permanently bonds (glues) them to the front surfaces of your teeth to camouflage discoloration or other cosmetic flaws like chipping or misshapen teeth.
A dentist has to replace porcelain veneers every five to 15 years. Veneers aren’t reversible.
4. Dental crowns
Sometimes tooth discoloration is a symptom of cavities. If you have weakened or decayed teeth in addition to discoloration, your dentist may recommend dental crowns.
A crown is a tooth-shaped cap that fits over your tooth, protecting it from further damage. Dental crowns help improve the health and function of your teeth as well as their appearance.
Treatment of teeth discolouration gives you a healthy, confident smile. At Dentzania we make sure you get the smile you always wanted ! Come, experience the joy of a whiter, healthier and beautiful smile with us.
