Full Mouth Rehabilitation
Transform Your Smile with Full Mouth Rehabilitation!
Restore Function, Beauty, and Confidence in Your Smile
Do you suffer from multiple missing, damaged, or worn-down teeth? Are you experiencing chronic pain, bite problems, or difficulty chewing? If so, you may be a candidate for Full Mouth Rehabilitation—a life-changing dental solution designed to restore the function, aesthetics, and health of your entire mouth.
Full mouth reconstructions combine esthetics with the science of restorative dentistry to improve the health, function, and beauty of the mouth. Also known as full mouth restoration, full mouth reconstruction can include any combination of the following:
Restorative dental treatments
These include dental crowns, bondings, bridges, fillings, gum treatments
Implant dentistry
Dental implants to replace missing teeth in the most natural way replicating them from root to crown
Dentures
Removable or implant retained dentures depending on various factors to replace the missing teeth.
A full mouth rehabilitation requires a planned systematic approach to get long lasting results.
At Dentzania, we offer advanced, customized full mouth rehabilitation treatments to rebuild your smile and improve your oral health and quality of life.
FMR treatments are executed methodically by our expert team of specialists working together for a comprehensive approach , at affordable pricing , ensuring outstanding value for investment & making it the best clinic in Mumbai for FMR treatments.
Being equipped with all facilities and armemantarium complex cases which may require multiple Root Canals, Gum Sugery, Dental Implants, Crown and Bridges work to get good results can be done in-house at DENTZANIA !
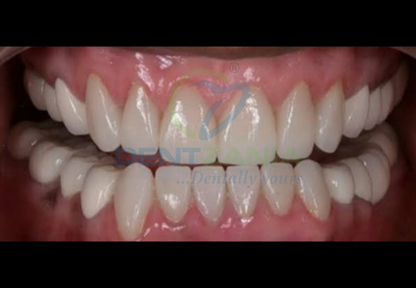
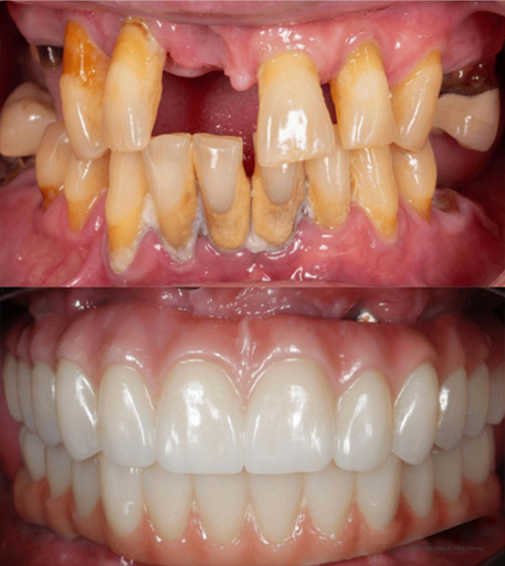
Before / After
Frequently Asked Questions
- Have multiple missing or severely damaged teeth
- Experience difficulty chewing or speaking due to dental issues
- Suffer from chronic jaw pain (TMJ disorder) or bite misalignment
Implant Supported FMR : In cases where there are multiple missing teeth or teeth need to be removed due to extreme damage / infection , dental implants need to be placed for achieving fixed, functional and aesthetic solutions . Depending upon the situation, a combination of natural teeth and implants or full mouth implants may need to be placed for desired results.
See all on x and full mouth implants for more
At Dentzania, we provide customised tailored treatments for your unique needs and budget
- Dental Implants – Permanent Tooth Replacement If you have missing teeth, dental implants offer a strong, long-lasting, and natural-looking solution to restore your smile and bite.
- Porcelain Crowns & Bridges – Strength & Aesthetics Combined
We restore damaged or weakened teeth with durable, custom-designed crowns and bridges that enhance both function and appearance. - Veneers – A Perfect Smile Makeover
For patients with chipped, stained, or misaligned teeth, porcelain veneers provide a flawless, natural-looking smile transformation. - Full & Partial Dentures – Comfortable & Natural Fit
For those missing several or all teeth, we offer modern, custom-fit dentures that look and feel like natural teeth. - Bite Correction & TMJ Therapy – Eliminate Pain & Discomfort
We address bite misalignment issues to relieve jaw pain, headaches, and teeth grinding (bruxism) for long-term oral health.
Benefits of Full mouth reconstructions
Restores Oral Function
Improves chewing and speech abilities. Corrects bite issues (malocclusion), reducing jaw pain or TMJ disorders.
Enhances Aesthetic Appearance
Replaces missing, worn, or discolored teeth.Aligns teeth for a natural, confident smile.
Improves Oral Health
Eliminates decay, infection, and periodontal issues.Replaces old, failing restorations with long-lasting solutions.
Boosts Confidence and Quality of Life
A healthier, more attractive smile boosts self-esteem.Easier eating and speaking improve overall comfort and social interactions.
Customized Treatment Approach
Tailored to individual needs, combining crowns, bridges, implants, veneers, or dentures Can be phased over time to suit the patient’s health and budget.
Long-Term Results
Offers a durable and stable outcome when maintained with proper oral hygiene and regular check-ups.
Experienced Specialists
Our team of expert dentists and prosthodontists ensures top-quality care.
Advanced Technology
We use digital scans, 3D imaging, and cutting-edge techniques for precise, comfortable treatment.
Customized Care Plans
Every patient receives a personalized treatment plan tailored to their unique needs.
Pain-Free, Comfortable Experience
We offer sedation options to ensure a stress free and pain-free procedure.
Why Choose us for Full Mouth Rehabilitation?
Cutting-Edge Dental Technology at Dentzania
Happy Patients
Smiles Crafted
Years of experience
