Wisdom Tooth Pain
Troubled with wisdom tooth woes? Let us take the pain away with gentle, expert treatment!
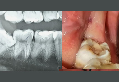
Wisdom tooth pain is a common issue that occurs when the third molars, or wisdom teeth, emerge at the back of the mouth. This pain can result from several factors, including impaction, infection, gum inflammation, or overcrowding.
At Dentzania, we specialize in advanced, non-invasive, and long-lasting solutions to Wisdom tooth pain
Book an Appointment NowCauses of Wisdom Tooth Pain
1. Impaction – When the wisdom tooth does not have enough space to emerge properly, it may become trapped in the gums or jawbone.
2. Infection – Bacteria can accumulate around a partially erupted wisdom tooth, leading to pericoronitis (gum infection).
3. Gum Inflammation – The gum tissue surrounding a wisdom tooth can become swollen and painful.
4. Tooth Decay – Partially erupted wisdom teeth are harder to clean, increasing the risk of cavities.
5. Pressure and Crowding – Wisdom teeth pushing against nearby teeth can cause misalignment and pain.
Symptoms
- Persistent or throbbing pain in the back of the mouth
- Swelling and redness in the gums
- Difficulty opening the mouth
- Bad breath or an unpleasant taste
- Headaches or jaw pain
Wisdom Tooth Treatment at Dentzania
At Dentzania, we specialize in providing safe, effective, and painless wisdom tooth treatment to ensure your comfort and long-term oral health. Whether your wisdom teeth are causing pain, swelling, or difficulty chewing, our expert dental team is here to help.
Our Approach to Wisdom Tooth Treatment
1. Expert Consultation & Diagnosis
Comprehensive oral examination with digital X-rays to assess the position and condition of your wisdom teeth.
Personalized treatment planning based on your specific needs.
2. Non-Surgical Treatment for Mild Cases
Pain Management: Medications and mouth rinses to relieve discomfort.
Gum Care: Professional cleaning to prevent infection.
Laser Therapy: Advanced laser treatment to reduce gum inflammation and promote faster healing.
3. Wisdom Tooth Extraction (If Needed)
Simple Extraction: For fully erupted wisdom teeth that can be removed easily.
Surgical Extraction: For impacted or partially erupted wisdom teeth, performed with precision by our skilled oral surgeons.
Painless Procedure: Local anesthesia or sedation options for a comfortable experience.
Fast Recovery: Minimal downtime with post-treatment care guidance for a smooth healing process.
Before / After
Frequently Asked Questions (FAQs) - Wisdom Tooth Pain
- Pain or swelling in the back of the mouth
- Difficulty opening the mouth
- Bad breath or unpleasant taste
- Gum redness or pus near the tooth
- Warm saltwater rinses
- Cold compress on the jaw
- Over-the-counter pain relievers
- These are temporary measures. A dental checkup is necessary for permanent relief.
- Severe, persistent pain
- Swelling of jaw or face
- Fever
- Difficulty swallowing or opening mouth
At Dentzania, we combine advanced technology with expert care to provide effective treatment for wisdom tooth pain. Our goal is to restore your gum health, protect your natural teeth, and bring back your confident smile. Don’t ignore the signs—your smile deserves the best care.
Experienced Dentists & Specialists
Highly qualified team with expertise in wisdom tooth management.
Advanced Technology
Digital X-rays, laser therapy, and modern surgical techniques for precise and efficient treatment.
Affordable & Transparent Pricing
No hidden costs, flexible payment plans available.
Personalized Aftercare Support
Guidance on post-treatment care and quick recovery.
Why Choose Dentzania?
If you're experiencing wisdom tooth pain, don’t wait! Book a consultation at Dentzania today and get the relief you deserve.
Book an Appointment NowCutting-Edge Dental Technology at Dentzania
Happy Patients
Smiles Crafted
Years of experience
Treatment Options
Pain Relief – Over-the-counter pain relievers (like ibuprofen) can help manage discomfort.
Saltwater Rinses – Rinsing with warm salt water can reduce swelling and fight bacteria.
Cold Compress – Applying ice packs to the outside of the cheek can numb the pain and reduce swelling.
Antibiotics – If an infection is present, a dentist may prescribe antibiotics.
Extraction – If the pain persists or complications arise, wisdom tooth removal may be necessary.
If you’re experiencing wisdom tooth pain, it’s best to cons
