Tooth Bonding
Dental Bonding in Goregaon East, Mumbai | Affordable Smile Enhancement
Looking for dental bonding in Goregaon East, Mumbai?
Fix chipped, discolored, or spaced teeth with quick, painless cosmetic bonding at Dentzania.
Transform Your Smile in Just One Visit at Dentzania!
If you're bothered by chipped, cracked, or discolored teeth, dental bonding offers a fast and affordable way to improve your smile.
At Dentzania, we provide professional cosmetic bonding in Goregaon East, Mumbai, helping patients restore confidence with natural-looking results.
What is Dental Bonding?
Dental bonding is a cosmetic dental procedure where a tooth-colored resin material is applied and hardened with a special light. This resin bonds to the tooth, improving its appearance and strength. Bonding is ideal for:
- Chipped or cracked teeth
- Gaps between teeth
- Discolored or stained teeth
- Uneven or misshaped teeth
- Minor cavities (as a cosmetic filling option)
Is Dental Bonding Right for You?
Dental bonding is ideal for patients looking for a quick, affordable cosmetic fix. However, it may not be suitable for major structural issues. Our dentists will assess your needs during your consultation
Before / After
Frequently Asked Questions
Benefits of Dental Bonding
Dental bonding offers several advantages, especially for those seeking fast, noninvasive cosmetic improvements:
Quick and Convenient
Most procedures are completed in just one visit (30–60 minutes per tooth).
Affordable Cosmetic Solution
Lower cost compared to veneers or crowns while delivering excellent aesthetic results.
Minimally Invasive
Requires little to no enamel removal, preserving your natural tooth structure.
Painless Procedure
Usually no anesthesia required unless bonding is used to fill a decayed tooth.
Natural Appearance
Tooth-colored resin matches your existing teeth for a seamless smile.
Versatile Application
Corrects chips, cracks, gaps, discoloration, and even reshapes teeth.
Immediate Results
Walk out with an enhanced smile the same day.
Experienced Cosmetic Expertise
Led by Dr. Ekta Kukreja, a skilled periodontist with an eye for detail, we deliver results that are both functional and aesthetically pleasing.
Natural-Looking Results
We use high-quality tooth-colored resins that match your natural teeth precisely—so no one can tell you've had dental work.
Comfortable, Painless Experience
Our bonding procedures are quick, minimally invasive, and pain-free. Most treatments are completed in a single visit with no downtime.
Affordable Smile Makeovers
We provide cost-effective cosmetic solutions that don't compromise on quality— perfect for those looking to enhance their smile on a budget.
Personalized Treatment Plans
No two smiles are the same. We listen to your concerns and tailor the bonding procedure to suit your dental and aesthetic goals.
Why Choose Dentzania ?
Expert Care. Personalized Attention. Beautiful Results.
At Dentzania, we believe that every smile is unique and deserves the highest standard of care. Here’s why patients across Goregaon East, Malad East, and nearby areas trust us for dental bonding:
Cutting-Edge Dental Technology at Dentzania
Happy Patients
Smiles Crafted
Years of experience
Dental bonding
Dental bonding is used to enhance your smile and even to protect the tooth from further damage ! The procedure uses tooth-colored composite resin material to:
- Conceal chips or cracks in your teeth.
- Camouflage Tooth discoloration
- Close gaps and spaces between your teeth.
- Make your teeth look longer.
- Change the shape of your teeth.
Composite or Direct Veneers :
This is when composite resin material is used to cover the entire surface of your tooth , mainly as a part of smile makeovers !
The same composite resin material used in dental bonding is also used in restorative dentistry to:
- Fill cavities.
- Replace old silver dental fillings with a more cosmetic alternative.
- Protect teeth roots that have been exposed due to gum recession
Dental Bonding Process at Dentzania
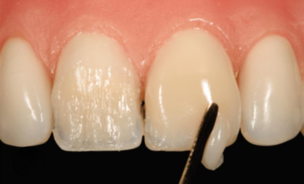
1. Consultation & Shade Selection
Our expert team evaluates your smile and selects the resin color that best matches your teeth.
2. Tooth Preparation
The tooth surface is lightly etched and coated with a conditioning liquid.
3. Application & Shaping
The bonding resin is applied, shaped, and smoothed to the desired form.
4. Curing & Polishing
A special light hardens the resin, followed by polishing for a natural shine.
A brighter, more confident you is just one appointment away !
Let dental bonding bring out your best smile.
