Tooth Colored Fillings
Restore Your Teeth with Natural-Looking, Mercury-Free Fillings
At Dentzania, we offer advanced tooth-coloured fillings that not only treat cavities but also blend seamlessly with your natural teeth—so no one will even know you've had a filling.
What Are Tooth-Coloured Fillings?
Tooth-coloured fillings are made from a composite resin material that is carefully matched to the shade of your natural teeth. Unlike traditional silver (amalgam) fillings, they’re aesthetic, mercury-free, and preserve more of your natural tooth structure and restore the natural appearance of a decayed or previously filled tooth. Because they blend well with tooth enamel and don’t look like fillings, your dentist may recommend them if the teeth to be restored are near the front of your mouth.
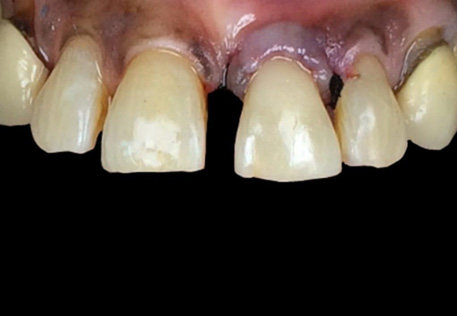
Before / After
Frequently Asked Questions
1. Composite Resin Fillings
- Most widely used
- Matches the natural tooth color
- Ideal for both front and back teeth
2. Glass Ionomer Cement (GIC) Fillings
- Releases fluoride to protect the tooth
- Commonly used in deep and non-load-bearing areas
3. Ceramic (Porcelain) Fillings
- Highly durable and stain-resistant
- Suitable for larger restorations or inlays/onlays
- More expensive but very aesthetic
Benefits of tooth coloured fillings
Natural Look
Matches your tooth shade for a flawless finish
Safe & Biocompatible
Mercury-free and non-toxic
Strong & Durable
Bonds tightly to the tooth structure
Minimally Invasive
Preserves healthy tooth tissue
Quick & Painless
Can usually be completed in one sitting
Expert Dentists
Our skilled team ensures precision placement and long-lasting results with the latest filling techniques.
Advanced Materials
We use premium, biocompatible composite and ceramic materials that match your natural tooth shade perfectly.
Pain-Free Experience
Enjoy a gentle, comfortable procedure with minimal discomfort and maximum care.
Mercury-Free & Safe
We prioritize your health by offering 100% mercury-free, non-toxic filling options.
Affordable Pricing
Get high-quality restorations with warranty at an affordable and transparent pricing
Natural Aesthetic Results
Our cosmetic focus ensures your smile looks natural, clean, and beautifully restored.
Why Choose Dentzania for Tooth-Coloured Fillings?
At Dentzania, we combine precision, comfort, and aesthetics to provide high-quality dental restorations that last. Here's why patients across Goregaon East, Mumbai trust us for their tooth-coloured fillings:
Protect your teeth, preserve your smile—naturally.
Book your appointment today at Dentzania, Goregaon East, Mumbai.
Book an Appointment NowCutting-Edge Dental Technology at Dentzania
Happy Patients
Smiles Crafted
Years of experience
Tooth coloured fillings in Goregaon East Mumbai
Overview
Dental fillings are one of the most common types of routine dental care to treat Dental cavities
Almost 91% of adults experience at least one cavity in their permanent teeth during their lifetime.
What are tooth coloured fillings?
Tooth coloured fillings are Dental restorations and are an innovative new version of the old, metal fillings.
They are designed to be discreet and natural in appearance as they blend well with the teeth and look more natural than amalgam fillings, which are darker and more easily noticeable.
They are also known as Composite Fillings as they are made of a composite resin material that can chemically bond to the teeth and they can be utilized to fill and close off a cavity after the decayed part of the tooth has been removed and also to help repair chipped or broken teeth.
Composite restorations are used to treat the teeth closest to the front of the mouth.
However, the latest advances in technology and the composition of composite fillings have made it possible for dentists to use tooth-coloured fillings on molars too, as they receive more wear than other teeth.
What Is the procedure for tooth coloured fillings?
First and foremost the dentist discusses the options to decide the filling type best suited for the patient and starts by selecting the shade of composite to use in the filling.
What happens during a dental filling procedure?
Exact steps can vary depending on the material your dentist uses and the type of filling they place. But here’s a general idea of what to expect.
At Dentzania, our expert dentist will check the extent and area of your decay and accordingly suggest you the type of filling material or a combination if required.
The usuall steps are
- Numb your tooth with local anaesthesia if required ( usually for deep decays )
- Remove damaged or decayed tissue from your tooth using specialized instruments.
- Fill the hole with dental filling material.
- Use a dental curing light to harden the material (only for resin composite).
- Polish and smooth any rough edges.
- Check your bite to make sure it feels normal.
Protect your teeth, preserve your smile—naturally.
Book your appointment today at Dentzania, Goregaon East, Mumbai. Call us at 8850406457 or book online to schedule your consultation.
