Crooked Teeth Correction
Treatment for crooked teeth in Goregaon East, Mumbai
Best treatment for crooked teeth in Mumbai
While having straight teeth undoubtedly enhances a person’s appearance, there are many other more vital reasons to invest in straightening them. Straight teeth are easier to clean, don’t inhibit speech or chewing, and are less likely to chip, crack, or wear down.
At Dentzania dental Dr. Ekta offers several options for a straighter smile that can significantly improve your comfort, confidence, and quality of life !
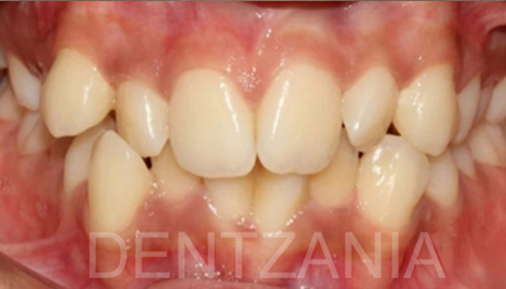
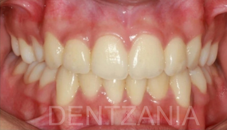
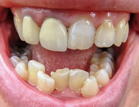
Before / After
Frequently Asked Questions (FAQs) – Crooked Teeth Correction
Your dentist will provide a personalized treatment plan based on your specific needs.
Benefits of Crooked Teeth Correction
Great Aesthetics
Crooked teeth treatment results in a straighter and more visually appealing smile, enhancing facial aesthetics and boosting self-confidence.
Enhanced Oral Health
Straightening crooked teeth improves oral health by making it easier to clean and maintain proper oral hygiene, reducing the risk of tooth decay, gum disease, and other dental issues.
Better Bite Alignment
Treatment for crooked teeth helps correct bite alignment, improving chewing efficiency and reducing the risk of jaw pain or temporomandibular joint (TMJ) disorders.
Improved Overall Well-being
Addressing crooked teeth enhances self-esteem and overall well-being, enabling individuals to smile, speak, and engage in social interactions with greater confidence and comfort. Additional benefits include improved speech, decreasing wear and tear and having healthier teeth because they are easier to clean.
Comprehensive and affordable services :
We offer a wide range of treatments for crooked teeth correction like braces, invisible aligners bondings, porcelain veneers, high quality esthetic crowns, cosmetic recontouring with affordable pricing
State of the art technology and expert team :
We utilise advanced dental technology for precise diagnosis and treatment planning, which along with our highly qualified expert team ensures superior outcomes.
Personalised care:
Each patient receives personalised attention and a customised treatment plan designed to achieve their desired smile goals.
Patient-Centred Approach:
The team at DENTZANIA prioritises patient comfort and satisfaction, providing a welcoming environment and compassionate care throughout the treatment journey
Why Choose Dentzania
Cutting-Edge Dental Technology at Dentzania
Happy Patients
Smiles Crafted
Years of experience
How to Achieve Straighter Teeth With a Smile Makeover
There are many cosmetic options for those who want to improve the way they look when they smile. This means those who want to straighten their teeth can choose from a few different teeth straightening options, as some people’s teeth are minimally crooked while others have very crooked teeth.
Reasons why straight teeth are important
Want to understand why people are getting a smile makeover to straighten their teeth? The main reason is that they want to improve the way they look when they smile, as making a good impression is important. Additional reasons include correcting one’s bite, improved speech, decreasing wear and tear and having healthier teeth because they are easier to clean.
straightening one's teeth can be accomplished in different ways and the kind of orthodontic treatment needed will depend on the patient's preference and the options provided by a dentist.
Smile makeover options for straightening teeth
The list below includes three popular teeth straightening options that people are choosing to be part of their smile makeover.
1. Dental bonding
Dental bonding allows those with minimally crooked teeth the ability to straighten their teeth quickly. This straightening procedure requires a dental professional to use a special dental bonding material, also known as a tooth-colored resin. They will apply this resin to the patient's teeth with a goal of shaping the teeth so that they look straighter. This straightening option can also be used to change how teeth look, making it so patients can essentially design their smiles.
2.Dental veneers
Dental veneers are another smile makeover option that works for those who have minimally crooked teeth. Veneers are extremely thin pieces of porcelain that a dental professional will custom-make for every patient. This means those who choose this option cannot only get the straight teeth they want, but they can also use veneers to change the shape or size of their teeth and/or cover up any hard to remove intrinsic stains.
3.Braces
There are a few different types of braces patients can choose from to straighten their teeth, making it a good idea for them to choose one that fits in with their lifestyle. For example, one of the newer types of braces offered is clear aligners and many people are choosing this option because they can be removed for a couple of hours every single day. Other options for braces include metal braces, ceramic braces and lingual braces, which all work the same yet offer different appearances.
