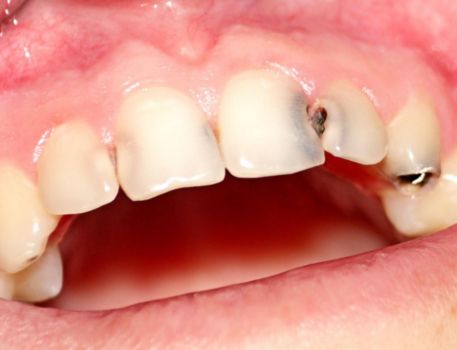
Tooth Decay
Tooth Decay Treatment in Malad East, Mumbai
Restore decayed tooth with expert dental care at Dentzania!
Tooth decay begins when bacteria in your mouth make acids that attack the tooth’s surface (enamel). This can lead to a small hole in a tooth, called a cavity. If tooth decay is not treated, it can cause pain, infection, and even tooth loss.
People of all ages can get tooth decay once they have teeth—from childhood through the senior years.
Tooth decay can silently damage your smile if left untreated.
At Dentzania, we offer expert, painless treatments to stop decay and restore your teeth.
From early cavities to advanced cases, we care for every stage with precision.
Visit us in Goregaon East – because your smile deserves the best care !
Before / After
Tooth Decay – Frequently Asked Questions | Dentzania, Goregaon East
- Fluoride treatments for early decay
- Tooth-colored fillings
- Root canal therapy for deep decay near tooth pulp
- Dental crowns or extractions in severe cases
- Brush twice daily with fluoride toothpaste
- Floss regularly
- Avoid frequent snacking on sugary foods
- Drink water, and visit your dentust every 6 months for check-ups
- We also offer preventive sealants for children and high-risk adults.
Need to treat or prevent tooth decay in Mumbai?
Visit Dentzania – Goregaon East today!
Call: 8850406457
Benefits of Tooth Decay Treatment
Relieves Pain and Sensitivity
Treating cavities eliminates the discomfort and sharp pain caused by decay, helping you chew and smile comfortably.
Prevents Further Damage
Early treatment stops the decay from spreading deeper into the tooth, avoiding root canals or extractions.
Restores Tooth Function
Dental fillings, crowns, or other treatments restore your tooth’s shape and strength, allowing normal chewing and speech.
Protects Overall Health
Untreated decay can lead to infections that affect your gums, jaw, and even your heart. Prompt treatment protects your general health.
Improves Oral Hygiene
Removing decay and sealing cavities makes your teeth easier to clean, reducing the risk of future problems.
Enhances Smile and Confidence
Tooth-colored fillings and restorations improve the appearance of damaged teeth, giving you a healthy, confident smile.
Saves Time and Money
Treating decay early is quicker and more affordable than complex procedures like root canals or dental implants later.
Cutting-Edge Dental Technology at Dentzania
Happy Patients
Smiles Crafted
Years of experience
Regular check ups ( 6 monthly ) to your dentist are very important in helping early detection of decay / cavities. An early diagnosis and treatment can help the tooth from getting weaker and improves the prognosis and long term stability of the tooth.
If you notice a black spot on any of your tooth, or feel you have a cavity or food lodgement, do not delay your visit to the dentist !
Visit us for a painless, smooth and minimally invasive cavity filling procedure with tooth colored fillings, that seamlessly blend with your natural tooth.
Book an Appointment NowMore about tooth decay
Symptoms and treatment
Early tooth decay, there are not usually any symptoms. As tooth decay advances, it can cause a toothache (tooth pain) or tooth sensitivity to sweets, hot, or cold. If the tooth becomes infected, an abscess, or pocket of pus, may form, causing pain, facial swelling, and fever.
Diagnosis
Tooth decay can be found during a regular dental check-up. Tooth decay signs include white, brown, or black staining on the tooth. If the decay is more advanced, it may form a hole, or cavity. The dentist can also check the teeth for soft or sticky areas or take an x-ray, which can show decay.
Treatment
If tooth decay is still in its early stages, before a hole (cavity) forms, the dentist can apply fluoride to reverse the decay.
Dentists commonly treat cavities by filling them. A dentist will remove the decayed tooth tissue and then restore the tooth by filling it with a Tooth colored resin or glass ionomer
Helpful Tips
Here are some things you can do to prevent tooth decay:
- Use fluoride, a mineral that can prevent tooth decay from progressing, and even reverse, or stop, early tooth decay. You can get fluoride by:
• Brushing with a fluoride toothpaste.
• Drinking tap water that has fluoride.
• Using fluoride mouth rinse.
- Have a good oral hygiene routine. Brush teeth twice a day with a fluoride toothpaste and regularly clean between teeth with floss or another interdental (between-the-teeth) cleaner.
- Make smart food choices that limit sugary drinks and foods high in sugars and starches. Eat nutritious and balanced meals and limit snacking.
- Do not use tobacco products, including smokeless tobacco. If you currently use tobacco, consider quitting.
- See a dentist for regular check-ups and professional cleanings
Call us today: 8850406457
Visit: Shop No. 6, Lalani Grandeur, Ridhi Garden, Malad East, Mumbai - 400097
Website: www.dentzania.com
Dentzania – Your smile is important to us.
