Missing Teeth
Missing Teeth Treatment in Goregaon East, Mumbai | Restore Your Smile at Dentzania
Looking for missing teeth solutions ?
Dentzania in Goregaon East , Mumbai offers dental implants, bridges & dentures to restore your confidence and oral health.
Restore Your Smile with Missing Teeth Treatment in Goregaon East
Whether it’s one tooth or several, the gap can affect your confidence, chewing ability, and overall oral health.
At Dentzania, we offer advanced, affordable solutions to help you smile again.
Why Replacing Missing Teeth is Important
- Improves chewing and speech
- Prevents shifting of nearby teeth
- Maintains jawbone health
- Restores facial appearance and self-esteem
- Sudden temperature changes in the mouth
- Age-related enamel wear
Our Missing Teeth Solutions
1. Dental Implants – Permanent and Natural-Looking

Dental implants are the gold standard for replacing missing teeth. We offer high-quality, long-lasting implants that look and feel like natural teeth.
Benefits:
- Strong and stable
- Preserves jawbone
- Easy to maintain
2. Dental Bridges – Quick and Reliable

A bridge fills the gap by anchoring to nearby healthy teeth or implants.
Ideal for:
- One or two missing teeth
- Patients seeking a fixed solution
3. Dentures – Removable and Cost-Effective

Complete or partial dentures are a practical choice for those missing multiple teeth.
We offer:
- Natural-looking designs
- Comfortable and customized fit
Book an Appointment Now
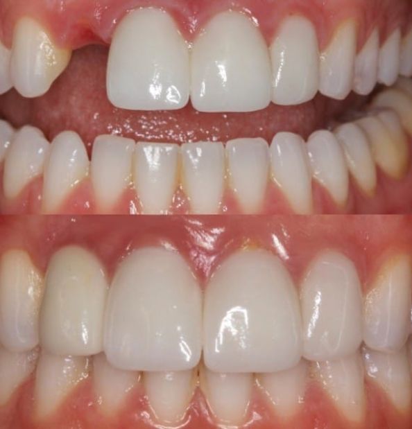
Before / After
Frequently Asked Questions (FAQs) – Fractured Tooth
Benefits of Missing Teeth Treatment
Treating missing teeth isn’t just about looks—it’s essential for your long-term oral health and well-being. Here’s how you benefit:
Improved Chewing & Digestion
Eat your favorite foods without discomfort.
Clearer Speech
Missing teeth can affect pronunciation—treatment restores clarity.
Prevents Bone Loss
Dental implants preserve jawbone structure.
Enhanced Confidence
A complete smile boosts self-esteem in social and professional settings.
Prevents Shifting Teeth
Filling gaps prevents misalignment and bite issues.
Supports Facial Structure
Replacing teeth prevents a sunken appearance.
Expertise You Can Trust:
Led by Dr. Ekta Kukreja, a skilled periodontist and implantologist.
Personalized Care:
We tailor treatments to your needs, preferences, and budget.
Advanced Technology:
From 3D scans to precision implants, we use modern equipment.
Comfort-First Approach:
Your comfort is our priority—pain-free care, always.
15 plus years in service :
Serving Malad East and Goregaon East, we’re known for compassionate, quality care.
Affordable Options:
Flexible payment plans and transparent pricing.
Why Choose Dentzania for Missing Teeth Treatment?
Cutting-Edge Dental Technology at Dentzania
Happy Patients
Smiles Crafted
Years of experience
Book a Consultation Today
Don’t let missing teeth hold you back. Let us help you restore your smile with confidence.
Call us at 8850406457 or Book now
